Endodonzia
E conservativa
SERVIZIO
Endodonzia e conservativa
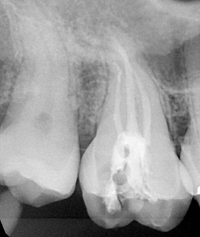
L’endodonzia (devitalizzazione dei denti) è alla base di ogni lavoro protesico e richiede una perfetta esecuzione, poiché un’endodonzia mal fatta causa granulomi e ascessi con la perdita dei denti e di tutto il lavoro protesico eseguito sull’elemento, con costi biologici ed economici gravi
Nel nostro studio l’endodontista utilizza strumenti in Nichel-Titanio (M2 di Sweden & Martina) e tecniche di ultima generazione (strumenti rotanti, radiografia digitale ad ogni step e ingrandimenti ottici) che garantiscono la perfetta riuscita del trattamento.




Conservativa




Conservativa
La conservativa (otturazioni, inlay, onlay…) è una branca dell’odontoiatria cosiderata di base. In realtà è fondamentale eseguire questo genere di intervento al massimo livello, poiché materiali di scarsa qualità o tecniche di lavoro “veloci” portano a conseguenze ben più gravi della carie dentale, che causano costi biologici ed economici molto importanti (devitalizzazioni, estrazioni, impianti). Nel nostro studio eseguiamo tutte le attuali tecniche conservative, con particolare attenzione all’ alto risultato funzionale ed estetico.
Contattaci